インプラント
歯そのものを失った方へ
虫歯や歯周病などで歯そのものを失ってしまうと、噛む・話すといった基本的な機能が失われるほか、顔のバランスが崩れてしまったり、実年齢以上に老けて見られたりするなど、肉体的・精神的なダメージが大きくなります。
久留米の菊池歯科医院は、天然歯と同じような機能を取り戻し、優れた審美性を実現する「インプラント治療」で、高い実績を持つ歯科医院です。
最新の技術を取り入れ、より安全で確実な治療を提供します。
インプラント治療とは?
インプラント治療とは、歯を失った部分の顎の骨に人口歯根を埋め込み、その上に義歯を装着する治療です。
従来の入れ歯にありがちな歯のグラつきや、装着する違和感がなく、ご自身の歯と同じようにしっかり噛んで食事ができます。
また、周囲の歯にバネをかける入れ歯と違い、他の歯を痛めることもありません。
審美性の高さも魅力です。
久留米・菊池歯科医院のインプラント治療のポイント
院長、副院長は、国際口腔インプラント学会の認定医です。インプラント治療においては福岡県内でもトップクラスの症例数を誇ります。
数多くの実績と経験をもって、患者様お一人お一人に合った治療を提供します。
口腔内の状態を3Dで診断できる「歯科用CT」を導入し、事前に歯根の状態や神経の位置などを正確に判断することができます。
また当院では「インプラント光機能化」という工程を取り入れ、使用前のチタン製のインプラント(人口歯根)に特殊な光処理を行います。
これによりインプラントが顎骨と結合する力が高まり、インプラント自体の老朽化を防ぐことができます。
当院では全てのインプラント手術症例において、術前にCT撮影を行いノーベルクリニシャンという3D分析ソフトにて神経・血管・骨質といったインプラント手術のための精密なシミュレーションを行っております。
当院では、福岡県内ではまだ数少ない「切らない手術(フラップレス式)」ができる歯科医院として、市内外から多くの患者様が来院されます。
通常のインプラント治療では、歯肉を切開したり剥離した後に縫合するという、大がかりな外科手術が前提でした。しかし当院の「切らない手術」では、歯科用CTを用いた詳細なシミュレーションにより、最小限の処置で治療が可能になりました。
術後の痛みや腫れが少ない、回復が早い、全身疾患などでインプラント治療が難しい方にも適用範囲が広がるなどのメリットがあります。
通常の診療室とは別に、隔離された手術専用の部屋をご用意しています。
最新の設備を取りそろえ、衛生管理にも配慮し、患者様が安心してインプラント治療をお受けいただけるようにしています。
症例のご紹介
集学治療(インプラント・矯正歯科・審美歯科)
治療前



治療後


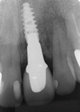
前歯部単独インプラント
治療前


治療後


前歯部単独インプラント
治療前


治療後


前歯部単独インプラント
治療前


治療後


全顎インプラント治療
治療前



治療後


全顎インプラント 症例2
治療前



治療後


全顎インプラント 症例3
治療前



治療後


前歯部単独歯インプラント 症例2
治療前


治療後


前歯部並列埋入インプラント
治療前


治療後


患者様に合った矯正装置を装着して、治療をスタートします。
久留米市、小郡市、筑紫野市、広川町、筑後市、八女市、大牟田市、柳川市、みやま市



























